Rund 1 Woche vor dem berechneten Wurftermin war unsere Maite vom Nikolausberg bei unserer Tierärztin Dr. Marianne Fischer zum Röntgen. Wir wollten ja wissen, mit wie vielen "Fellnasen" wir rechnen können, auch um bei der Geburt etwas mehr Sicherheit zu haben, dass alles problemlos abläuft. Deutlich zu sehen sind 4 kleine Vierbeiner. Maite's Gewicht und Bauchumfang nehmen fortlaufend zu und sie ist etwas ruhiger geworden, kann, wie immer, nicht genügend zu fressen bekommen.
Inzwischen messen wir morgens und abends auch ihre Temperatur. Eines der Anzeichen, dass die Geburt kurz bevorsteht (ca. 12-36 Std. vorher) ist meistens, wenn die Temperatur um 1 Grad Celsius fällt.Wir sind also vorbereitet und so gespannt auf den Wurftag unseres A-Wurfs und freuen uns auf die Kleinen. Mal sehen, wie sich dann auch Papa Duke Ellington verhält...

Die Landesgruppe Mitte-Ost (Thüringen, Sachsen, Sachsen-Anhalt) des Spaniel Club Deutschland e.V. (SCD, im VDH) führte am Samstag (14. März 2026) ein Ringtraining in der Halle des Kulturhauses Klackx in Glauchau durch. Dies war auch eine Vorbereitung für unseren Duke Ellington und unsere Forever Rizi Bizi Stella zur Teilnahme an der Spezial-Rassehunde-Ausstellung (SRA) für Spaniel am 3. Mai 2026 in Glauchau.
Beide waren mit Elan unter den Augen von Trainerin Carola Türk mit dabei, haben viel Spaß gehabt, lernten andere Vierbeiner kennen und haben einen schönen Tag in der Halle und der tollen Umgebung außerhalb gehabt.
Gleich danach erfolgte auch die Meldung zur Schau am 3. Mai, die die Landesgruppe Mitte-Ost im SCD veranstaltet. Duke wird in der Offenen Klasse und Stella in der Jüngstenklasse starten. Außerdem haben wir gleich den Samstag, 20. Juni 2026 für einen Ausflug mit der Landesgruppe vorgemerkt.
Unsere Maite vom Nikolausberg nimmt an Gewicht und Bauchumfang zu und ihr geht es prima. Es sind nur noch knapp 3 Wochen bis zum berechneten Wurftermin und wir alle, inklusive der künftige Papa Duke Dellington, sind schon sehr gespannt auf unseren A-Wurf.
Heute (8. März 2026) haben wir die Wurfkiste aufgebaut und bequem ausgestattet. Auch eine Wärmedecke und eine Wärmelampe sind vorhanden und bereits getestet. Natürlich haben Maite, Duke und Stella die neue Wurfkiste bereits begutachtet. Maite kann sich dort die nächsten Tage nun richtig nach ihren Vorstellungen einrichten.
Rund 1 Woche vor dem berechneten Wurftermin werden wir dann durch eine Röntgenaufnahme wohl auch mehr über die Anzahl der erwarteten Welpen wissen - wir sind weiter sehr gespannt...
Wie jeden Samstag hat unsere Stella, die nun ein halbes Jahr alt ist, gestern (7. März 2026) wieder ihren Spaß auf dem Hundeplatz beim Hundesportverein SV-OG Erfurt gehabt.
Zusammen mit der Beagle-Hündin Milka schnüffelten beide nach den Leckerlies der vorherigen Gruppe, sie startete Versuche aufs Häuschen zu kommen und nach all dem Rumtoben musste auch etwas Pause sein.

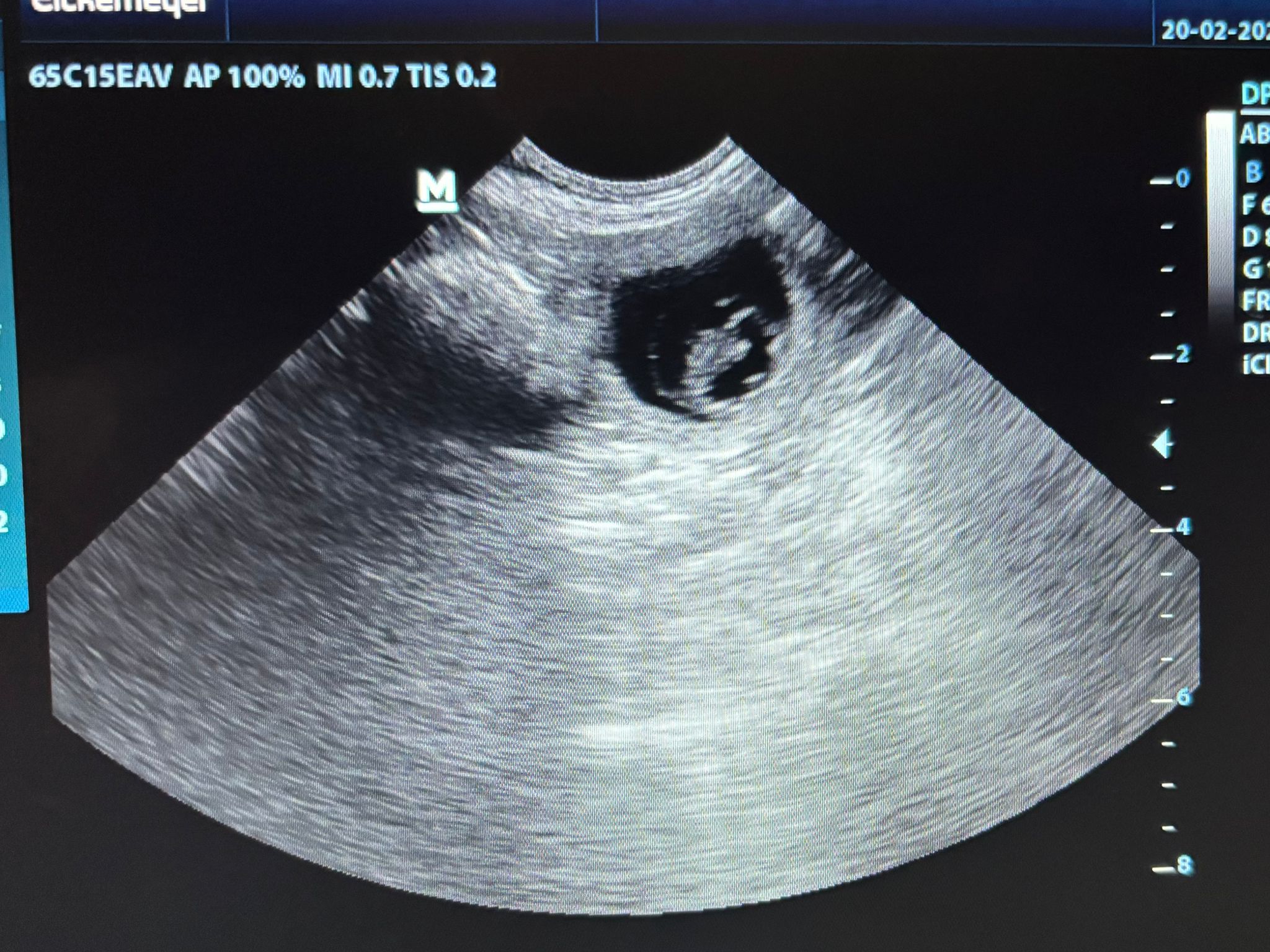
Beim Ultraschall bei unserer Tierärztin hat sich gestern Abend (19.2.2026) gezeigt, dass unsere Maite vom Nikolausberg nun trächtig ist und aus der Verpaarung mit unserem Duke Ellington kleine English Cocker Spaniel Welpen bekommen wird. Wir sind schon so gespannt auf den A-Wurf.
Am 26. März 2026 wäre der berechnete Wurftag aufgrund des 1. Deckakts. Der Ultraschall zeigt aber wohl, dass sie noch kleiner sind und ein späterer Deckakt wahrscheinlich dazu führte.
Deshalb ist es wahrscheinlicher, dass der Wurftag auch ein paar Tage später sein könnte. Eine fast genaue Anzahl der Welpen können wir erst beim Röntgen sehen, das ca. 1 Woche vor dem Wurftag erfolgt. Dann lassen wir uns überraschen, wieviel Rüden und Hündinnen es sind, und welche Farben sie haben, wenn es soweit ist...
Unsere lieben, anhänglichen und freundlichen Elternhunde sind gesund, von rassespezifischen Erbkrankheiten frei und leben bei uns in der Familie im Haus mit Hof und Garten in Erfurt-Mittelhausen (Thüringen). Weitere Informationen zu unseren Welpen haben wir -> hier zusammengestellt. Duke und Maite sind beide als uneingeschränkt zuchttauglich vom Spaniel Club Deutschland e.V. (-> VDH -> FCI) eingestuft.

Neue Informationen erfolgen dann frühzeigt wieder hier. Gerne können Sie bei weiteren Fragen, Interesse usw. mit uns Kontakt aufnehmen -> Kontaktinformationen.
Seit ca. 1 Uhr heute Nacht schneit es und wir haben hier in Erfurt-Mittelhausen bereits 20 cm Neuschnee.
Die English Cocker Spaniel vom Erfurter Kakteenhof haben sich heute früh riesig gefreut lieben den Schnee und toben die ganze Zeit in der weißen Pracht rum. Für unsere 5 Monate alte "forever Rizi Bizi" Stella ist es der erste Winter und sie kann nicht genug bekommen. Alle haben ihren Spaß...
Unsere Landesgruppe Mitte-Ost im Spaniel Club Deutschland e.V. führt am 3. Mai 2026 in Glauchau (Sachsen) eine Spezial-Rassehunde-Ausstellung (SRA) für American Cocker Spaniel, Clumber Spaniel, English Cocker Spaniel, English Springer Spaniel, Field Spaniel, Irish Water Spaniel, Sussex Spaniel und Welsh Springer Spaniel durch. Nachfolgend die Einladung/Ausschreibung und Informationen...

SPANIEL-CLUB DEUTSCHLAND e.V., LG Mitte-Ost
Kulturhaus Klackx
Pappelstr. 3
08371 Glauchau
Henny Lindner
Grünstr. 5
08115 Lichtentanne
Onlinemeldungen: https://macshot.de/scd-mio/
Nastasja Vatter, D
Sonntag, 3. Mai 2026
08.00 Uhr Einlass der Hunde
08.30 Uhr Beginn der Zuchtzulassungen
10.00 Uhr Beginn des Richtens
Nach Beendigung des Richtens der einzelnen Klassen findet der Zuchtgruppen– u. Paarklassenwettbewerb statt, im Anschluss daran die Endkonkurrenz mit Preisverteilung
23. April 2026
Es gilt ein Ausstellungsverbot gem. VDH-Ausstellungsordnung für folgende Hunde aus dem In– und Ausland: Rute kupiert (Ausnahme: Jagdliche Verwendung gemäß Deutschem Tierschutzgesetz / Nur für FCI-anerkannte Jagdhundrassen)
Weiterlesen … Spezial-Rassehunde-Ausstellung am 3.5.2026 in Glauchau
Wir waren einige Tage in Ungarn, in Siófok am Balaton, um unser neues English Cocker Spaniel Mädchen Stella abzuholen.
Nach den für die Reise nach Deutschland nötigen Impfungen (vor allem Tollwut im Alter von 12 Wochen und 3 Wochen Wartezeit) und Untersuchungen war die Kleine gestern abreisebereit und wartete bei unserer Ankunft schon frisch gebadet, gebürstet und toll hergerichtet im FCI-Kennel "Forever Rizi Bizi" von Katalin Szabó.
Nach einer problemfreien Heimfahrt von knapp 10 Stunden konnte sie dann gesterm (16.12.2025) ihr neues Zuhause bei uns kennenlernen, alles abschnüffeln, ihre Neugier zeigen und war gleich sehr kontaktfreudig mit unseren 3 anderen Spike, Maite und Duke. Noch das Abendfressen und dann ist unsere Kleine mit all ihren neuen Eindrücken und einem anstrengenden Tag in den Schlaf gefallen.
Unsere Forever Rizi Bizi Stella ist am 1.9.2025 geboren, eine Hündin und hat die Farbe Schwarz mit Loh. Wir werden ihr ein schönes, tolles Zuhause bei uns geben und freuen uns sehr, diesen süßen English Cocker Spaniel Welpen nun bei uns zu haben...
Seite 1 von 2
